Breaking News
  • Editor's Top Picked Article Vol 20(1), Jan 2025 issue
  • Important Announcement : APC
  • Editor's Top Picked Article Vol 18(2), 2023
  • Editor's recommended article Vol 18(1), 2023
Home

Main navigation

  • Home
  • About
    • About Us
    • Aim and scope
    • Editorial Board
    • Editorial Policies and Ethics
    • Fee policy
    • Browse Issues
  • Issues

    CURRENT ISSUE

    Vol. 21 No. 4 (suppl) : 2026
    BRIOWSE ISSUES

    Latest Issues

    • 5th TERMSYMPO 2025
      Issue 07 Apr, 2026
      Vol. 21 No. 4 (suppl) : 2026
    • 10th International Virtual Medical Research Symposium
      Issue 02 Mar, 2026
      Vol. 21 No. 3 (suppl) : 2026
    • Medicine & Health
      Issue 29 Jan, 2026
      Vol. 21 No. 1 : 2026
    • 17TH Medical Undergraduates' Annual Scientific Research Meeting
      Issue 08 Jan, 2026
      Vol. 21 No. 2 (suppl) : 2026
    • World Ethics Day Symposium
      Issue 07 Jan, 2026
      Vol. 21 No. 1 (suppl) : 2026
    more issues

    FEATURED

    medhealth
    20 Jan, 2025

    Vol. 20 No. 1 : 2025

  • For Authors
    • Guidelines for Authors
    • Keyword guideline (MeSH)
    • Submit Manuscript
  • For reviewer
    • Peer Review Process
  • Contact

Menu second

  • About
  • Issues
  • Gallery

Breadcrumb

  1. Home
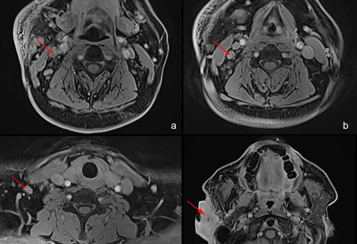
FIGURE 2: MRI images showed (a-c) enlarged and enhancing lymph nodes at levels 2, 3, and 4 of the right cervical neck regions; (d) lobulated soft tissue mass measuring 2.6 cm x 4.9 cm x 6.3 cm in the right pre- and postauricular space

Recurrent Kimura Disease of the Submandibular Region After Prolonged Remission to Radiotherapy and Its Challenges

Case Report 29 Jan, 2026

Siti Asmat Md Arepen

  • Read more about Siti Asmat Md Arepen

Nor Azirah Salahuddin

  • Read more about Nor Azirah Salahuddin

Azreen Zaira A Bakar

  • Read more about Azreen Zaira A Bakar

Khairil Afif Mahmud

  • Read more about Khairil Afif Mahmud

Ain Nadhirah Tajul Azhar

  • Read more about Ain Nadhirah Tajul Azhar
Retropharyngeal Abscess with a Missed Migrating Foreign Body: A Case Report
Case Report 29 Jan, 2026

Ixora Kamisan Atan

  • Read more about Ixora Kamisan Atan

Nurul Wahidah Wagimon

  • Read more about Nurul Wahidah Wagimon

Siti Farhana Md Pauzi

  • Read more about Siti Farhana Md Pauzi

Pagination

  • First page « First
  • Previous page ‹ Previous
  • Page 1
  • Page 2
  • Current page 3
  • Page 4
  • Page 5
  • Page 6
  • Page 7
  • Page 8
  • Page 9
  • …
  • Next page Next ›
  • Last page Last »
Subscribe to

Recent Articles

  • 01
    5th TERMSYMPO 2025
  • 02
    10th International Virtual Medical Research Symposium
  • 03
    Iatrogenic Tracheal Injury During Hemithyroidectomy: A Case Report
  • 04
    Fatal Wilkie’s Syndrome Complicated by Aspiration Pneumonia in an Adolescent with Autism: A Case Report
  • 05
    Recurrent Kimura Disease of the Submandibular Region After Prolonged Remission to Radiotherapy and Its Challenges
  • 06
    Retropharyngeal Abscess with a Missed Migrating Foreign Body: A Case Report

Contact info

Secretariat of Research & Innovation, Faculty of Medicine Universiti Kebangsaan Malaysia
Level 6, Preclinical Building,
Jalan Yaacob Latif,
Bandar Tun Razak,
56000 Cheras
  • Kuala Lumpur, Malaysia
  • 03-91458798
  • medhealthukm@gmail.com

Explore

  • About Us
  • Advertise
  • Terms & Conditions
  • Privacy Policy
  • Careers
  • News

Guidelines

  • Author guidelines
  • Keyword guideline (MeSH)
  • Reviewer Guidelines

Newsletter subscription

Subscribe to our newsletters. Never miss an issue or our latest news.
The subscriber's email address.
Manage existing

User login

"Start your submission journey and see your research make a greater impact."

© Copyright Medicine and Health UKM 2025. All Rights Reserved.