Hello Visitor!
Log In
or
Register
Home
My profile
Home
About
About M&H
Aims and Scope
Editorial Board
Reviewers
Issues
Current Issue
Browse Archive
Search
Article In Press
For Authors
Instruction To Authors
Online Submission
For Reviewers
Instruction To Reviewers
Contact
Reviewer Agreement Form
Search issue
MEDICINE & HEALTH
About
Aims and Scope
Editorial Policies and Guidelines
Editorial Board
Issues
Current Issue
Browse Archive
For Authors
Guidelines for Authors
Submit manuscript
Keyword guideline (MeSH)
Guidelines for online submission
For Reviewers
Review Comments Form
Reviewer Agreement Form
Guide for Reviewer
Related Links
Universiti Kebangsaan Malaysia
UKM Medical Centre
Centre for Research and Instrumentation Management
Centre for Graduate Management
Home
Share
|
tuberkulosis
Prevalence of TB among HCW at HCTM
Article |
December 12, 2022 - 4:09pm
| By
AHMAD FARID Nazmi AH
,
MOHD ROHAIZAT H1
,
Sharifah Azura S
,
NOR RINA M
Related Terms:
health care workers
Original article
prevalence
tuberculosis
petugas kesihatan
prevalen
tuberkulosis
Characterization of Mycobacterium species Isolates
Article |
June 28, 2022 - 3:13pm
| By
Norfazirah J
,
Zainal Arifin M
,
Zaw L
,
Myo Thura Z
,
Nor Amalina E
,
Kamruddin a
,
Jaeyres J
,
Cheronie Shely S
,
chin Kl
Related Terms:
molecular diagnostic
Original article
species differentiation
tuberculosis
diagnostik molekular
pembezaan spesies
tuberkulosis
-
Article |
August 14, 2019 - 1:50pm
| By
FARHANA I
,
Nor Azita AT
,
HAMISAH I
Related Terms:
choroidal neovascularization
ocular
Ranibizumab
tuberculoma
tuberculosis
uveitis
Case report
choroidal neovascularization
okular
Ranibizumab
tuberkuloma
tuberkulosis
uveitis
-
Article |
August 9, 2019 - 4:41pm
| By
Hng SH
,
SITI NABIHAH S
,
SITI NABILAH S
Related Terms:
knowledge
nurses
Original article
practice
tuberculosis
amalan
jururawat
Pengetahuan
tuberkulosis
-
Article |
August 8, 2019 - 10:53pm
| By
SITI HN
,
SYARIFAH-NORATIQAH SB
,
ZULFARINA MS
,
Isa NM
,
Kamisah Y
Related Terms:
biomarkers
disease progression
rifabutin
risk factors
tuberculosis
Review article
faktor risiko
penanda-biologi
perkembangan penyakit
rifabutin
tuberkulosis
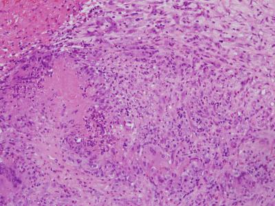
TB Prostate
Article |
July 11, 2014 - 9:17am
| By
FAZARINA M
,
Tan GH
,
Badrulhisham B
,
Shiran MS
,
Tan GC
Related Terms:
genitourinary
prostate
tuberculosis
Case report
genitourinari
prostat
tuberkulosis