• Hello Visitor!
  • Log In or Register
  • Home
  • My profile
Medicine & Health
  • Home
  • About
    • About M&H
    • Aims and Scope
    • Editorial Board
    • Reviewers
  • Issues
    • Current Issue
    • Browse Archive
    • Search
  • Article In Press
  • For Authors
    • Instruction To Authors
    • Online Submission
  • For Reviewers
    • Instruction To Reviewers
  • Contact
  • Reviewer Agreement Form
  • Search issue

MEDICINE & HEALTH

About

  • Aims and Scope
  • Editorial Policies and Guidelines
  • Editorial Board

Issues

  • Current Issue
  • Browse Archive

For Authors

  • Guidelines for Authors
  • Submit manuscript
  • Keyword guideline (MeSH)
  • Guidelines for online submission

For Reviewers

  • Review Comments Form
  • Reviewer Agreement Form
  • Guide for Reviewer

Related Links

  • Universiti Kebangsaan Malaysia
  • UKM Medical Centre
  • Centre for Research and Instrumentation Management
  • Centre for Graduate Management
Home
Share |

angin pasang otot diaphragma

Diaphragmatic Hernia
Article | June 26, 2021 - 12:30pm | By ZAKARIA AD, HAYATI F, NG CY, YEAP BT, ZAINAL ABIDIN ZA
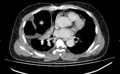
CT in axial view at the level of thorax with evidence of herniated bowel loop into the right thoracic cavity (*) complicated with collapse consolidation of the adjacent lung (arrow)
Related Terms:
Diaphragmatic hernia
intestinal obstruction
multislice computed tomography
Case report
angin pasang otot diaphragma
imbasan tomografi multi-hirisan
usus tersumbat
  • Home
  • Current Issues
  • Archive
  • For Authors
Get the main site RSS feed