• Hello Visitor!
  • Log In or Register
  • Home
  • My profile
Medicine & Health
  • Home
  • About
    • About M&H
    • Aims and Scope
    • Editorial Board
    • Reviewers
  • Issues
    • Current Issue
    • Browse Archive
    • Search
  • Article In Press
  • For Authors
    • Instruction To Authors
    • Online Submission
  • For Reviewers
    • Instruction To Reviewers
  • Contact
  • Reviewer Agreement Form
  • Search issue

MEDICINE & HEALTH

About

  • Aims and Scope
  • Editorial Policies and Guidelines
  • Editorial Board

Issues

  • Current Issue
  • Browse Archive

For Authors

  • Guidelines for Authors
  • Submit manuscript
  • Keyword guideline (MeSH)
  • Guidelines for online submission

For Reviewers

  • Review Comments Form
  • Reviewer Agreement Form
  • Guide for Reviewer

Related Links

  • Universiti Kebangsaan Malaysia
  • UKM Medical Centre
  • Centre for Research and Instrumentation Management
  • Centre for Graduate Management
Home
Share |

age

Age Estimation by Aspartic Acid Racemization
Article | August 3, 2019 - 3:16am | By KOMUTRATTANANONT P, MAHAKKANUKRAUH P
Related Terms:
age
artery
aspartic acid
elastin
estimation
forensic science
racemization
Review article
arteri
asid aspartik
elastin
penganggaran
peraseman
sains forensik
umur
Age Estimation from Clavicle by Histomorphometry
Article | July 25, 2019 - 11:51am | By INTHASAN C, MAHAKKANUKRAUH P
Related Terms:
age
clavicle
estimation
forensic science
histomorphometry
Review article
histomorfometri
ramalan
sains forensik
tulang selangka
umur
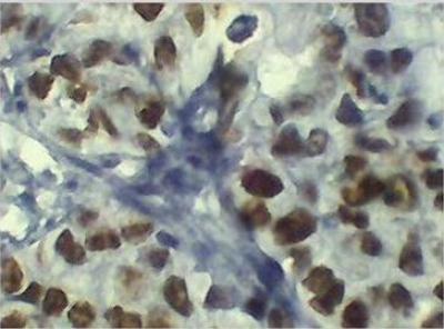
Expression of p53 Protein in Women within the Premenopausal Age
Article | December 29, 2016 - 10:10am | By Rashidah S, Hairil Rashmizal AR, Ho SE, Wan Mazlina MS
Figure 1: Positive (IHC) detection of p53 protein (A-D). Tissue with crisp brownish nuclear precipitatation of p53 protein overexpression; (A) S0045164, magnification x40, (B) S004776, magnification x10. (C) S0048960, magnification x10, and (D) S0047962, magnification x40
Related Terms:
age
Breast cancer
expression
Original article
p53 protein
premenopausal
women
ekspresi protein p53
Kanser payudara
pra menopaus
umur
wanita
  • Home
  • Current Issues
  • Archive
  • For Authors
Get the main site RSS feed